金沢大学環日本海域環境研究センターの鈴木信雄教授、岡山大学の池亀美華准教授、立教大学の服部淳彦特任教授と丸山雄介助教、文教大学の平山順教授を中心とした共同研究グループは、キンギョ(Carassius auratus)のウロコ(図1)を 0.1%の次亜塩素酸で滅菌後、培地を交換せずに 1 週間以上低温(4℃)で保管しても、ウロコに存在する骨芽細胞と破骨細胞の活性が維持され、重力にも応答することを証明しました。
予備的な実験により、同技術を用いて 3 週間以上の間、培地交換無しの条件でキンギョのウロコの細胞活性を維持できることも確認しています。今回の成果により、ロケットの打ち上げ射場でキンギョを飼育し、ウロコをパッキングする必要がなくなり、日本でパッキングしたウロコを低温で維持し、NASA などの射場に運ぶことが可能となります。さらにロケットの打ち上げの予期せぬ遅延にも対応できます。本研究により、宇宙実験(※1)の技術的な側面に大きく貢献することが期待されます。
本研究は、2024 年度から JAXA 宇宙科学研究所 宇宙環境利用専門委員会の公募事業(※2)(2024 年度フロントローディング研究)の助成を受け、実施しています。さらに、2025 年度フロントローディング研究にも採択され、今後、本研究成果を活用した、国際宇宙ステーション(ISS)での宇宙実験を企画しています。
本研究成果は、2025 年 4 月 7 日にアメリカの国際学術誌『Life Sciences in Space Research』のオンライン版に掲載されました。

図1:魚類のウロコの模式図 魚のウロコは、石灰化した骨基質の上に骨芽細胞と破骨細胞、さらに骨細胞が共存し、ヒトの骨 と同じように骨代謝を行っている。

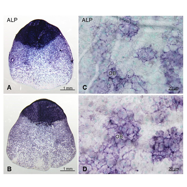
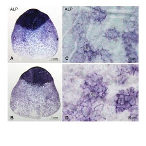
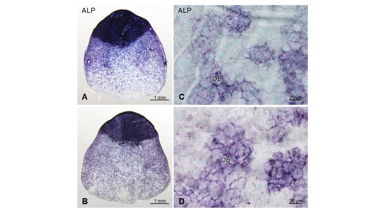
図2:低温(4℃)で 1 週間保管前後のウロコの骨芽細胞の活性(アルカリフォスファタ ーゼ:ALP)染色。A、C は低温保管前。B、D は低温保管後。C は A、D は B の拡大図 を示す。
【用語解説】
※1 宇宙実験(Fish Scales)
魚のウロコには骨を作る細胞(骨芽細胞)と骨を壊す細胞(破骨細胞)が共存しており、魚は脊椎骨ではなく、ウロコからカルシウムを出し入れしている。例えば、メスのサケは、海から川に遡上するときにウロコからカルシウムを取り出して、卵にカルシウムを供給する。その時、ウロコの破骨細胞が活性化して、ウロコが溶けて小さくなることが証明されている。
このウロコを用いて宇宙実験を短期間の準備期間で実施することができた。すなわち、国際宇宙ステーションを構成する日本の宇宙実験棟「きぼう」の宇宙実験に採択されたのが 2008 年であり、準備期間がわずか 2 年で宇宙実験を実施することができた。
宇宙実験に採択されて 10 年以上の準備期間で宇宙実験が実施された研究が多い中で、2 年という短い期間で実施できたのは、ウロコという優れた材料に注目したからである。
このウロコを用いた宇宙実験(Fish Scales)を実施した実績を、責任著者の研究グループは有する。その研究では、宇宙空間で、わずか 3 日間の培養で破骨細胞が活性化して、ウロコの骨吸収が引き起こされ、メラトニンが骨吸収を抑制することを報告した。
今後、メラトニンと他のホルモンとの相加・相乗作用を調べて、次の宇宙実験を実施していきたい。
※2 JAXA 宇宙科学研究所 宇宙環境利用専門委員会の公募事業
宇宙航空研究開発機構(JAXA)の宇宙科学研究所(ISAS)の宇宙環境利用専門委員会が主催し、微小重力科学および宇宙生命科学領域における『小規模計画』、「きぼう」利用フラグシップミッションなど、具体的な宇宙実験提案につながるフロントローディング研究の公募。宇宙実験前の実験機器の開発を含めた宇宙実験の準備を支援する。
ジャーナル名:Life Sciences in Space Research
研究者情報:鈴木 信雄
関連情報
金沢大学 理工学域 生命理工学類:https://www.se.kanazawa-u.ac.jp/lifescience
金沢大学 大学院 自然科学研究科:https://www.nst.kanazawa-u.ac.jp/